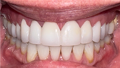
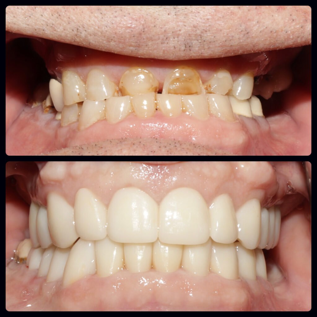
Gallery Gallery Crafted Smiles, Complete Care From routine cases to advanced restorations, we deliver precise, lab-crafted dental solutions.